U não ở trẻ em không phải là bệnh lý hiếm gặp. Với sự phát triển của các phương tiện chẩn đoán hình ảnh hiện đại, việc chẩn đoán u não ở trẻ em không còn phải là thách thức. Tuy nhiên, việc nhận biết các triệu chứng lâm sàng gợi ý là không thể bỏ qua.

Việc nhận biết các dấu hiệu này đôi lúc gặp trở ngại bởi đối tượng người bệnh là trẻ nhỏ. Dưới đây là một số các triệu chứng gợi ý bệnh:

1. Đau đầu

Đây là triệu chứng “kinh điển” của bệnh lý khối u nội sọ. Nhưng không may, nó cũng là triệu chứng của rất nhiều các bệnh lý khác. Những cơn đau đầu dai dẳng kéo dài trên 4 tuần, xuất hiện không có tiền triệu, thường vào buổi sáng và kèm nôn là một dấu hiệu cần được lưu tâm. Tuy nhiên, với trẻ chưa nói, dấu hiệu này thường không được nhận biết.

2. Buồn nôn và/hoặc nôn

Đây là triệu chứng dễ bị nhầm lẫn với bệnh cảnh tiêu hóa, một dạng bệnh lý rất phổ biến ở trẻ nhỏ. Triệu chứng này trong bệnh lý u não thường không đi kèm sốt hay rối loạn hình thái phân.

Nếu bệnh nhi của bạn nôn kéo dài không tương xứng với những triệu chứng bệnh lý tiêu hóa, hãy nghĩ u não. Thậm chí, nên loại trừ triệu chứng của u não, trước khi bắt tay vào điều trị các rối loạn tiêu hóa cho trẻ.

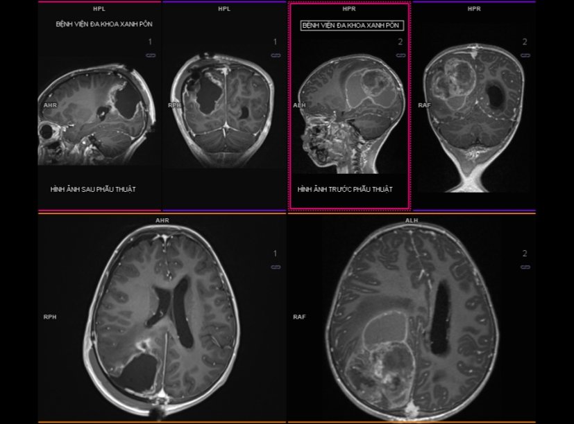
85ff111c8630726e2b21.jpg 

Hình ảnh dưới đây là một trường hợp u não của một bệnh nhi 5 tuổi, đến viện với triệu chứng nôn kéo dài. Bệnh nhân đã được phẫu thuật cấp cứu vì có tình trạng chảy máu trong u. Kết quả giải phẫu bệnh ghi nhận là Atypical teratoid/Rhabdoid tumor.

3. Co giật

Co giật là triệu chứng đầu tiên trong khoảng 40% các ca u não ở trẻ nhỏ. Lưu ý, trẻ có thể co giật ngay cả khi không có rối loạn thân nhiệt, một dấu hiệu quan trọng để phân biệt với sốt cao co giật.

4. Rối loạn về thị giác

Trẻ có thể nhầm lẫn trong khi tiếp cận đồ vật, một số có thể có dấu hiệu sụp mi hoặc lác.

5. Rối loạn về dáng đi hoặc khả năng thăng bằng

6. Rối loạn về phát triển

7. Rối loạn về giấc ngủ

8. Yếu liệt nửa người

9. Vẹo cổ, rung giật cơ

 

Nếu trẻ có một hoặc nhiều dấu hiệu như trên, đừng ngần ngại đưa trẻ đến cơ sở y tế chuyên khoa để được thăm khám.

ThS.BS Dương Trung Kiên

( Trưởng khoa Phẫu thuật Thần kinh, Bệnh viện Xanh Pôn)

  • Chia sẻ:
Tin tức liên quan
COMBO 2 TRONG 1: TẠO HÌNH THÀNH BỤNG – NÂNG NGỰC
13/08/2025
Xem 138
TẠO HÌNH THÀNH BỤNG Là phẫu thuật thu nhỏ bụng và làm phẳng thành bụng bằng cách loại bỏ da mỡ thừa và thắt chặt cơ bụng Tùy tình trạng bụng của từng bệnh nhân bác sĩ sẽ lựa chọn kỹ thuật tạo hình phù...
Những điều cần biết về Bệnh Nang ống mật chủ ở trẻ em
13/08/2025
Xem 138
U nang ống mật chủ là bệnh khá phổ biến ở châu Á nhất là Việt Nam Nhật Bản và Trung Quốc Bệnh có nhiều biến chứng nguy hiểm nếu không được điều trị
OZONE và ứng dụng trong lĩnh vực y tế
13/08/2025
Xem 138
1 Lịch sử OzoneOzone đã được Schönbein phát hiện như là khí có mùi đặc biệt vào khoảng năm 1840 và Siemens tìm ra ozone khi phát tia lửa điện vào năm 1857 .